Utrata zębów, niezależnie od przyczyny, może znacząco wpłynąć na jakość życia. Ogranicza komfort jedzenia, prowadzi do problemów z wymową, a także wpływa na estetykę uśmiechu i pewność siebie. Na szczęście współczesna stomatologia oferuje zaawansowane rozwiązania, wśród których implanty stomatologiczne odgrywają kluczową rolę. Stanowią one najbardziej zbliżone do naturalnych zębów uzupełnienie protetyczne, przywracając pełną funkcjonalność i piękny wygląd uzębienia. Jednak jak każde rozwiązanie medyczne, implanty posiadają swoje specyficzne cechy, które warto poznać przed podjęciem decyzji o leczeniu. Zrozumienie ich wad i zalet pozwala na świadomy wybór i maksymalizację korzyści płynących z tej metody.
Decyzja o wszczepieniu implantów stomatologicznych to inwestycja w zdrowie i samopoczucie na lata. Dlatego tak istotne jest dogłębne zapoznanie się z procesem, oczekiwaniami oraz potencjalnymi trudnościami. W niniejszym artykule przyjrzymy się szczegółowo wszystkim aspektom związanym z implantami, koncentrując się na tym, co najważniejsze dla pacjenta – czyli na konkretnych zaletach, które znacząco poprawiają komfort życia, oraz na potencjalnych wadach, których znajomość pozwala na odpowiednie przygotowanie i minimalizację ryzyka. Celem jest dostarczenie wyczerpujących informacji, które pomogą rozwiać wszelkie wątpliwości i podjąć najlepszą możliwą decyzję dotyczącą odbudowy uzębienia.
Dogłębne poznanie zalet implantów stomatologicznych dla zdrowego uśmiechu
Jedną z najbardziej znaczących zalet implantów stomatologicznych jest ich zdolność do zachowania kości szczęki i żuchwy. Kiedy tracimy ząb, korzeń, który go utrzymywał, przestaje stymulować kość, co prowadzi do jej stopniowego zaniku. Implanty, wszczepione w miejsce brakującego korzenia, pełniąc jego funkcję, stymulują kość w analogiczny sposób, zapobiegając jej resorpcji. Jest to kluczowe dla utrzymania prawidłowego kształtu twarzy, zapobiegania zapadaniu się policzków i ogólnego zdrowia jamy ustnej. Brak zaniku kości to również fundament dla stabilności przyszłych uzupełnień protetycznych, takich jak korony czy mosty.
Kolejną nieocenioną zaletą jest fakt, że implanty stomatologiczne nie wymagają naruszania sąsiednich, zdrowych zębów. W przypadku tradycyjnych mostów protetycznych, konieczne jest oszlifowanie zębów filarowych, co stanowi nieodwracalne uszkodzenie ich szkliwa i struktury. Implanty działają niezależnie, co oznacza, że zdrowe zęby pozostają nienaruszone, co jest rozwiązaniem w pełni zachowawczym i długoterminowo korzystnym dla całego uzębienia. Ta cecha przekłada się również na łatwiejszą higienę jamy ustnej, ponieważ nie ma potrzeby czyszczenia trudno dostępnych miejsc wokół szlifowanych zębów.
Implanty stomatologiczne zapewniają również niezrównany komfort i naturalność odczuć. Po pełnym zrośnięciu się implantu z kością, staje się on integralną częścią aparatu żucia, działając identycznie jak naturalny korzeń zęba. Pozwala to na swobodne spożywanie ulubionych potraw, bez obaw o przesuwanie się czy wypadanie protezy. Pacjenci często podkreślają, że po pewnym czasie zapominają, iż posiadają implant, co jest najlepszym dowodem na jego pełną integrację i funkcjonalność. Estetyka jest kolejnym mocnym argumentem – nowoczesne korony protetyczne mocowane na implantach są wykonane z materiałów o wysokich walorach estetycznych, doskonale imitując naturalne zęby pod względem koloru, kształtu i przezierności.
Analiza wad i ograniczeń związanych z implantami stomatologicznymi
Pomimo wielu zalet, implanty stomatologiczne nie są rozwiązaniem pozbawionym wad i potencjalnych ograniczeń. Jednym z najważniejszych aspektów, który należy wziąć pod uwagę, jest czas trwania leczenia. Proces wszczepienia implantu i jego pełnego zrośnięcia z kością, zwany osteointegracją, może trwać od kilku miesięcy do nawet roku, w zależności od indywidualnych warunków kostnych pacjenta i zastosowanej metody leczenia. W tym czasie pacjent może korzystać z tymczasowych uzupełnień protetycznych, jednak wymaga to cierpliwości i świadomości, że jest to proces etapowy, a nie jednorazowa interwencja.
Kolejnym istotnym czynnikiem jest koszt implantów stomatologicznych. Jest to zazwyczaj najdroższa metoda odbudowy braków zębowych w porównaniu do tradycyjnych protez ruchomych czy mostów. Cena wynika z zaawansowanej technologii, wysokiej jakości materiałów, a także konieczności specjalistycznej wiedzy i umiejętności chirurga stomatologa. Należy jednak pamiętać, że implanty są inwestycją długoterminową, a ich trwałość i komfort użytkowania często rekompensują początkowe wydatki w perspektywie wielu lat. Warto również rozważyć możliwość finansowania zabiegu w systemie ratalnym, jeśli jest to dostępne w danej klinice.
Istnieje również grupa pacjentów, którzy ze względu na stan zdrowia lub warunki anatomiczne, nie mogą zostać zakwalifikowani do leczenia implantologicznego. Przeciwwskazania bezwzględne obejmują między innymi niekontrolowaną cukrzycę, choroby autoimmunologiczne, osteoporozę w zaawansowanym stadium, a także choroby psychiczne uniemożliwiające współpracę z lekarzem. Względne przeciwwskazania, takie jak palenie papierosów, choroby przyzębia czy niewystarczająca ilość tkanki kostnej, mogą wymagać dodatkowych procedur przygotowawczych, takich jak augmentacja kości czy leczenie chorób dziąseł, co może wydłużyć czas leczenia i zwiększyć jego koszt. Ryzyko powikłań, choć stosunkowo niskie, zawsze istnieje i może obejmować infekcje, problemy z gojeniem, czy odrzucenie implantu przez organizm.
Kluczowe aspekty przygotowania do zabiegu implantacji zębów
Przed podjęciem decyzji o wszczepieniu implantów stomatologicznych niezbędne jest przeprowadzenie szczegółowej diagnostyki. Proces ten rozpoczyna się od wizyty konsultacyjnej u specjalisty implantologa, który oceni ogólny stan zdrowia pacjenta, historię chorób oraz stan jamy ustnej. Kluczowym elementem diagnostyki jest wykonanie precyzyjnych badań obrazowych, takich jak pantomogram (RTG panoramiczne) oraz tomografia komputerowa szczęki i żuchwy (CBCT). Te nowoczesne metody pozwalają na dokładną ocenę ilości i jakości tkanki kostnej w miejscu planowanego zabiegu, lokalizację struktur anatomicznych, takich jak nerwy i zatoki szczękowe, co jest niezbędne do bezpiecznego i precyzyjnego zaplanowania umieszczenia implantu.
Kolejnym ważnym etapem przygotowania jest profesjonalne czyszczenie jamy ustnej i leczenie istniejących schorzeń. Zanim dojdzie do wszczepienia implantu, konieczne jest usunięcie kamienia nazębnego, polerowanie zębów oraz, w razie potrzeby, przeprowadzenie leczenia chorób przyzębia i próchnicy. Zdrowa tkanka dziąseł i brak stanu zapalnego w jamie ustnej są kluczowe dla powodzenia osteointegracji i długoterminowego sukcesu leczenia implantologicznego. W przypadku palaczy, zaleca się rzucenie nałogu co najmniej na okres przed i po zabiegu, ponieważ nikotyna znacząco upośledza proces gojenia i zwiększa ryzyko powikłań.
Ostatnim, ale równie istotnym elementem przygotowania jest szczegółowe omówienie planu leczenia z pacjentem. Lekarz implantolog powinien przedstawić wszystkie dostępne opcje terapeutyczne, wyjaśnić przebieg zabiegu, czas trwania leczenia, potencjalne ryzyko oraz koszty. Pacjent powinien mieć możliwość zadawania pytań i rozwiania wszelkich wątpliwości. Ważne jest również omówienie oczekiwań pacjenta w zakresie estetyki i funkcji przyszłych uzupełnień protetycznych. Zrozumienie przez pacjenta wszystkich etapów procesu, odpowiedzialności za higienę jamy ustnej oraz konieczności regularnych kontroli po zabiegu, jest fundamentem dla osiągnięcia satysfakcjonujących i trwałych rezultatów leczenia implantologicznego.
Przebieg leczenia implantologicznego krok po kroku dla pacjenta
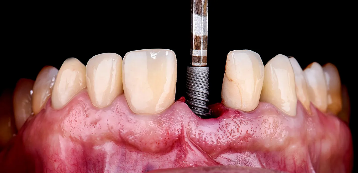
Proces leczenia implantologicznego rozpoczyna się od etapu chirurgicznego, polegającego na precyzyjnym umieszczeniu tytanowego implantu w kości szczęki lub żuchwy. Procedura ta odbywa się zazwyczaj w znieczuleniu miejscowym, zapewniając pacjentowi komfort i brak bólu. Po przygotowaniu loży kostnej, implant jest delikatnie wkręcany lub wprowadzany w odpowiednie miejsce. Następnie, w zależności od zastosowanej techniki, implant może być przykryty śluzówką lub pozostawiony z wystającą śrubą gojącą. Po zabiegu chirurgicznym następuje okres rekonwalescencji i gojenia, podczas którego implant integruje się z kością, tworząc stabilne podparcie dla przyszłego uzupełnienia protetycznego.
Po okresie osteointegracji, który trwa zazwyczaj od 3 do 6 miesięcy, następuje etap protetyczny. W tym czasie na implancik jest nakręcana śruba gojąca, która kształtuje dziąsełko wokół implantu, przygotowując je do zamocowania korony. Następnie pobierane są precyzyjne wyciski, które trafiają do laboratorium protetycznego. Tam, na podstawie wycisków i wskazań lekarza, tworzona jest indywidualnie dopasowana korona protetyczna. Korony mogą być wykonane z różnych materiałów, takich jak ceramika, cyrkon czy kompozyty, dobieranych w zależności od potrzeb estetycznych i funkcjonalnych pacjenta.
Ostatnim etapem jest zamocowanie gotowej korony na implancie. Korona jest przykręcana lub cementowana na łączniku protetycznym, który wcześniej został przykręcony do implantu. Po umieszczeniu korony, lekarz dokładnie sprawdza jej dopasowanie, zgryz i estetykę. Pacjent otrzymuje również szczegółowe instrukcje dotyczące higieny jamy ustnej, która jest niezwykle ważna dla utrzymania zdrowia implantów i dziąseł. Regularne wizyty kontrolne u stomatologa są kluczowe dla monitorowania stanu implantów i wczesnego wykrywania ewentualnych problemów. Dbanie o higienę i regularne kontrole pozwalają cieszyć się odzyskanym uśmiechem przez wiele lat.
Długoterminowa perspektywa i pielęgnacja implantów stomatologicznych
Trwałość implantów stomatologicznych jest jednym z ich największych atutów, często porównywalną do długowieczności naturalnych zębów. Przy odpowiedniej higienie jamy ustnej i regularnych wizytach kontrolnych, implanty mogą służyć pacjentowi przez całe życie. Tytan, z którego wykonane są implanty, jest materiałem biokompatybilnym, odpornym na korozję i procesy biologiczne zachodzące w organizmie. Sukces długoterminowy zależy jednak w dużej mierze od zaangażowania pacjenta w codzienną pielęgnację oraz od profesjonalnej opieki stomatologicznej.
Prawidłowa higiena jamy ustnej po wszczepieniu implantów jest absolutnie kluczowa. Należy codziennie szczotkować zęby co najmniej dwa razy dziennie, używając miękkiej szczoteczki do zębów i pasty z fluorem. Szczególną uwagę należy zwrócić na czyszczenie przestrzeni międzyzębowych, gdzie gromadzą się resztki pokarmu i bakterie. Do tego celu doskonale nadają się nici dentystyczne, specjalistyczne szczoteczki międzyzębowe oraz irygatory wodne. Regularne płukanie jamy ustnej płynem antybakteryjnym może również wspomóc utrzymanie higieny i zapobieganie stanom zapalnym.
Niezbędne są również regularne wizyty kontrolne u stomatologa, zazwyczaj co 6 miesięcy. Podczas wizyt kontrolnych lekarz ocenia stan implantów, dziąseł, a także wykonuje profesjonalne czyszczenie, usuwając kamień nazębny i osady, które mogą być trudne do usunięcia samodzielnie. Wczesne wykrycie ewentualnych problemów, takich jak zapalenie tkanek okołowszczepowych (peri-implantitis), pozwala na szybkie wdrożenie odpowiedniego leczenia i zapobiega poważniejszym konsekwencjom, takim jak utrata implantu. Pacjent powinien również unikać nadmiernego obciążania implantów, na przykład przez gryzienie twardych przedmiotów, oraz informować lekarza o wszelkich niepokojących objawach, takich jak ból, obrzęk czy ruchomość uzupełnienia.
Porównanie implantów stomatologicznych z innymi metodami leczenia
Implanty stomatologiczne stanowią najbardziej zaawansowane i funkcjonalne rozwiązanie w leczeniu braków zębowych, jednak warto zestawić je z innymi dostępnymi metodami, aby w pełni docenić ich unikalność. Tradycyjne mosty protetyczne, choć estetyczne, wymagają oszlifowania zdrowych zębów filarowych. Oznacza to nieodwracalne uszkodzenie szkliwa i zwiększa ryzyko problemów z tymi zębami w przyszłości. Mosty nie zapobiegają również zanikowi kości pod utraconym zębem, co może prowadzić do problemów estetycznych i funkcjonalnych w dłuższej perspektywie.
Protezy ruchome, zwłaszcza te rozległe, mogą być komfortowe dla pacjenta, ale często wiążą się z ograniczeniami w jedzeniu i mówieniu. Mogą się przesuwać, uciskać dziąsła i powodować dyskomfort. Protezy te nie stymulują kości szczęki i żuchwy, co prowadzi do jej stopniowego zaniku, a w konsekwencji do pogorszenia stabilności samej protezy i zmiany rysów twarzy. Mimo niższej ceny, kompromisy w zakresie komfortu i funkcji są znaczące.
Implanty stomatologiczne, w przeciwieństwie do mostów, nie naruszają sąsiednich zębów, zachowując ich naturalną strukturę. W porównaniu do protez ruchomych, zapewniają pełną stabilność, komfort jedzenia i mówienia, a także zapobiegają zanikowi kości, co przekłada się na utrzymanie prawidłowego kształtu twarzy. Choć koszt implantów jest zazwyczaj wyższy, ich długoterminowa trwałość, funkcjonalność i wpływ na zdrowie jamy ustnej czynią je inwestycją o wysokim zwrocie. Warto również wspomnieć o możliwościach, jakie dają implanty w przypadku całkowitego bezzębia, gdzie kilka implantów może stanowić stabilne podparcie dla protezy typu „all-on-4” lub „all-on-6”, przywracając pacjentowi pełną funkcjonalność uzębienia.




