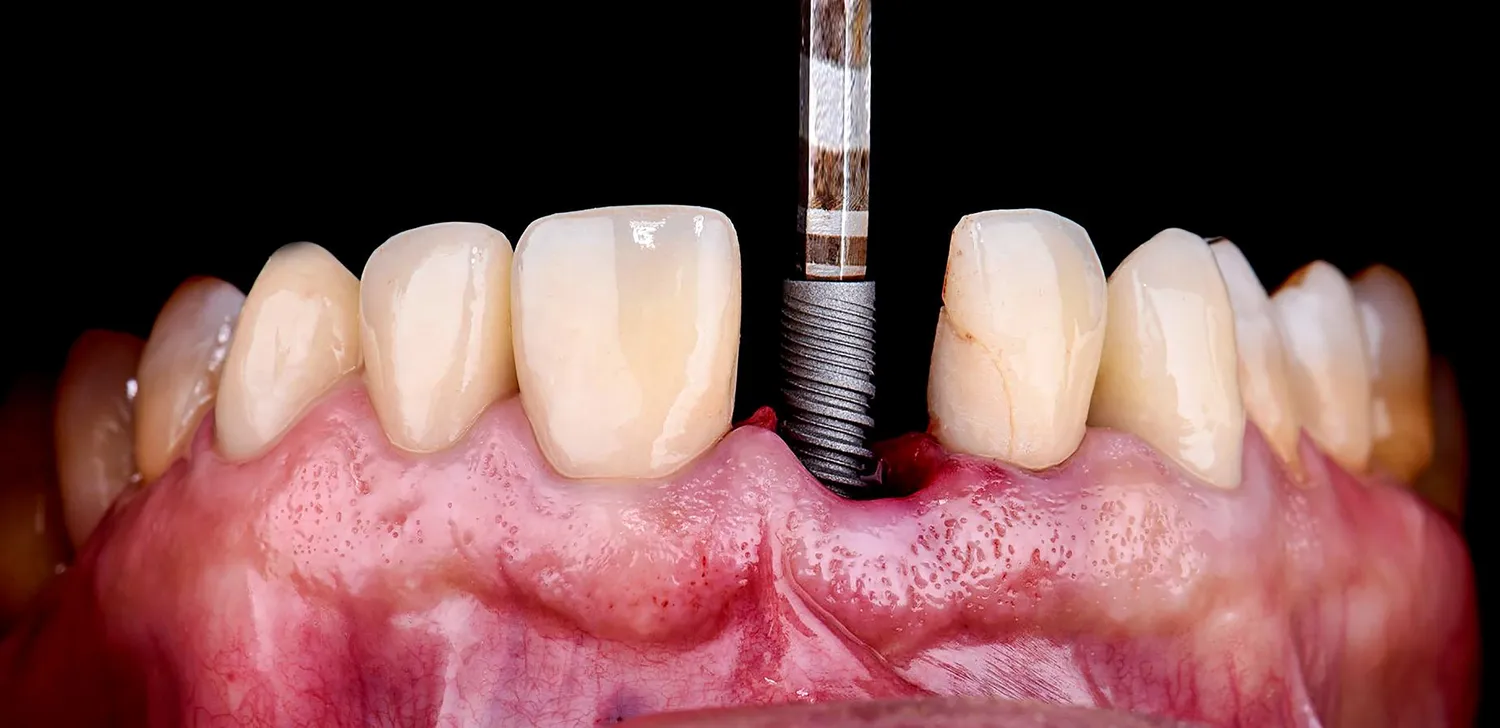
Implanty zębowe stały się jednym z najczęściej wybieranych rozwiązań w stomatologii dla osób, które straciły zęby. Wśród różnych rodzajów implantów, najbardziej popularne są implanty endoossealne, które są umieszczane bezpośrednio w kości szczęki. Te implanty mają formę małych śrubek, które po osadzeniu w kości integrują się z nią, co zapewnia stabilność i trwałość. Innym rodzajem są implanty subperiostealne, które są umieszczane na powierzchni kości, ale pod błoną śluzową. Ten typ jest często stosowany u pacjentów, którzy nie mają wystarczającej ilości kości do przeprowadzenia tradycyjnego zabiegu. Warto również wspomnieć o implantach zębów miniaturowych, które są mniejsze od standardowych i mogą być stosowane w miejscach o ograniczonej przestrzeni.
Jakie są różnice między implantami endoossealnymi a subperiostealnymi
Wybór odpowiedniego typu implantu zębowego jest kluczowy dla sukcesu całego leczenia stomatologicznego. Implanty endoossealne to najczęściej stosowane rozwiązanie, które polega na wszczepieniu implantu w kość szczęki. Dzięki temu uzyskuje się bardzo mocne i stabilne połączenie z naturalnym uzębieniem pacjenta. Proces gojenia trwa zazwyczaj kilka miesięcy, podczas których implant integruje się z kością. Z kolei implanty subperiostealne są stosowane w sytuacjach, gdy pacjent nie ma wystarczającej ilości kości do przeprowadzenia zabiegu endoossealnego. Te implanty są umieszczane na powierzchni kości i pokrywane błoną śluzową. Choć ich czas gojenia może być krótszy niż w przypadku implantów endoossealnych, to jednak ich stabilność może być nieco niższa.
Jakie są zalety i wady różnych rodzajów implantów zębowych

Decyzja o wyborze konkretnego rodzaju implantu zębowego powinna być dokładnie przemyślana, ponieważ każdy typ ma swoje unikalne zalety i wady. Implanty endoossealne cieszą się dużym uznaniem ze względu na swoją trwałość oraz naturalny wygląd po zakończeniu leczenia. Ich główną wadą jest jednak długi czas gojenia oraz konieczność posiadania odpowiedniej ilości kości do ich wszczepienia. Z drugiej strony, implanty subperiostealne mogą być idealnym rozwiązaniem dla pacjentów z ograniczoną ilością kości, jednak ich stabilność może być mniejsza niż w przypadku implantów endoossealnych. Miniimplanty to kolejna opcja, która jest mniej inwazyjna i może być stosowana w trudnych warunkach anatomicznych. Ich główną zaletą jest krótki czas leczenia oraz mniejsze ryzyko powikłań, ale mogą nie być odpowiednie dla wszystkich pacjentów ze względu na ich ograniczoną wytrzymałość.
Jakie czynniki wpływają na wybór rodzaju implantu zębowego
Wybór odpowiedniego rodzaju implantu zębowego jest procesem skomplikowanym i wymaga uwzględnienia wielu czynników zdrowotnych oraz anatomicznych. Przede wszystkim lekarz musi ocenić stan zdrowia jamy ustnej pacjenta oraz ilość dostępnej kości szczękowej. W przypadku braku wystarczającej ilości kości konieczne może być wykonanie zabiegów augmentacyjnych przed wszczepieniem implantu. Kolejnym czynnikiem jest wiek pacjenta oraz jego ogólny stan zdrowia; osoby starsze lub cierpiące na przewlekłe choroby mogą wymagać szczególnej uwagi przy wyborze implantu. Również styl życia pacjenta ma znaczenie; palenie tytoniu czy brak higieny jamy ustnej mogą wpłynąć na sukces leczenia implantologicznego. Nie bez znaczenia są również oczekiwania pacjenta dotyczące estetyki oraz funkcjonalności implantu; niektórzy mogą preferować szybsze rozwiązania kosztem długoterminowej trwałości.
Jakie są najnowsze technologie w implantologii stomatologicznej
W ostatnich latach implantologia stomatologiczna znacząco się rozwija, a nowe technologie wprowadzają innowacyjne rozwiązania, które zwiększają skuteczność i komfort leczenia. Jednym z najważniejszych osiągnięć jest zastosowanie technologii cyfrowych, takich jak skanowanie 3D oraz drukowanie w technologii CAD/CAM. Dzięki tym technologiom lekarze mogą precyzyjnie zaplanować zabieg, co minimalizuje ryzyko powikłań i zwiększa dokładność umiejscowienia implantu. Ponadto, nowoczesne materiały wykorzystywane do produkcji implantów, takie jak tytan czy ceramika, charakteryzują się lepszą biokompatybilnością oraz estetyką. Wprowadzenie implantów z powłokami bioaktywnymi przyspiesza proces gojenia i integracji z kością. Kolejnym interesującym rozwiązaniem są implanty zębowe o zmiennej geometrii, które dostosowują się do warunków anatomicznych pacjenta.
Jakie są koszty różnych rodzajów implantów zębowych
Koszt implantów zębowych może znacznie różnić się w zależności od wybranego typu implantu oraz lokalizacji kliniki stomatologicznej. Implanty endoossealne, będące najczęściej stosowanym rozwiązaniem, zazwyczaj wiążą się z wyższymi kosztami ze względu na ich trwałość i skomplikowany proces wszczepienia. Koszt jednego implantu endoossealnego może wynosić od kilku do kilkunastu tysięcy złotych, w zależności od renomy kliniki oraz doświadczenia lekarza. Z kolei implanty subperiostealne mogą być nieco tańsze, ale ich cena również zależy od wielu czynników, takich jak konieczność przeprowadzenia dodatkowych zabiegów przygotowawczych. Miniimplanty to opcja często tańsza i mniej inwazyjna, jednak ich koszt również może się różnić. Warto pamiętać, że cena to nie tylko koszt samego implantu, ale także związane z nim procedury chirurgiczne oraz późniejsza opieka stomatologiczna.
Jakie są przeciwwskazania do wszczepienia implantów zębowych
Decyzja o wszczepieniu implantu zębowego nie zawsze jest możliwa ze względu na różne przeciwwskazania zdrowotne. Przede wszystkim osoby cierpiące na choroby ogólnoustrojowe, takie jak cukrzyca czy choroby serca, powinny być dokładnie oceniane przez lekarza przed przystąpieniem do zabiegu. Cukrzyca może wpływać na proces gojenia oraz zwiększać ryzyko infekcji, dlatego pacjenci muszą być odpowiednio przygotowani do zabiegu i monitorowani po jego wykonaniu. Innym istotnym czynnikiem jest stan zdrowia jamy ustnej; obecność aktywnej choroby przyzębia lub próchnicy może uniemożliwić wszczepienie implantu. Również palenie tytoniu jest czynnikiem ryzyka, który może wpłynąć na sukces leczenia implantologicznego. Osoby przyjmujące leki immunosupresyjne lub mające problemy z krzepliwością krwi również powinny być ostrożne przy podejmowaniu decyzji o wszczepieniu implantu.
Jak dbać o implanty zębowe po ich wszczepieniu
Prawidłowa pielęgnacja implantów zębowych po ich wszczepieniu jest kluczowa dla zapewnienia ich długotrwałej funkcjonalności oraz estetyki. Po pierwsze, pacjenci powinni przestrzegać zasad higieny jamy ustnej, co obejmuje regularne szczotkowanie zębów oraz nitkowanie. Utrzymanie czystości wokół implantu pomoże zapobiec osadzaniu się płytki nazębnej oraz rozwojowi chorób przyzębia. Ważne jest również regularne odwiedzanie dentysty na kontrole oraz profesjonalne czyszczenie jamy ustnej. Lekarz może zalecić dodatkowe środki pielęgnacyjne, takie jak stosowanie specjalnych szczoteczek międzyzębowych czy irygatorów wodnych. Pacjenci powinni unikać twardych pokarmów oraz nadmiernego obciążania implantu w pierwszych tygodniach po zabiegu, aby dać czas na prawidłową integrację implantu z kością.
Jak długo trwa proces gojenia po wszczepieniu implantu
Czas gojenia po wszczepieniu implantu zębowego jest różny dla każdego pacjenta i zależy od wielu czynników, takich jak stan zdrowia pacjenta oraz typ zastosowanego implantu. W przypadku implantów endoossealnych proces integracji implantu z kością zazwyczaj trwa od trzech do sześciu miesięcy. W tym czasie organizm pacjenta musi przeprowadzić proces osteointegracji, czyli połączenia implantu z tkanką kostną. W przypadku osób z dobrą jakością kości czas ten może być krótszy, natomiast u pacjentów z problemami zdrowotnymi lub niewystarczającą ilością kości czas gojenia może się wydłużyć. Implanty subperiostealne mogą wymagać krótszego czasu gojenia ze względu na swoją lokalizację pod błoną śluzową, ale również wymagają starannego monitorowania stanu zdrowia pacjenta.
Jakie są opinie pacjentów dotyczące implantów zębowych
Opinie pacjentów dotyczące implantów zębowych są zazwyczaj pozytywne i wskazują na wysoką satysfakcję z efektów leczenia. Wielu pacjentów podkreśla poprawę jakości życia po wszczepieniu implantu; odzyskują oni pełną funkcjonalność żucia oraz pewność siebie dzięki estetycznemu wyglądowi uśmiechu. Pacjenci często zauważają znaczną poprawę komfortu w porównaniu do tradycyjnych protez ruchomych, które mogą powodować dyskomfort czy trudności w jedzeniu. Jednakże niektórzy pacjenci zgłaszają obawy związane z bólem pooperacyjnym oraz czasem gojenia; warto jednak pamiętać, że każdy przypadek jest indywidualny i reakcje organizmu mogą być różne.
Jakie są alternatywy dla implantów zębowych
Dla osób, które nie kwalifikują się do zabiegu wszczepienia implantów zębowych lub preferują inne metody odbudowy uzębienia istnieje kilka alternatyw. Jedną z najpopularniejszych opcji są mosty protetyczne, które polegają na zamocowaniu sztucznych zębów pomiędzy naturalnymi zębami pacjenta. Mosty mogą być stosowane w przypadkach utraty jednego lub kilku zębów i oferują estetyczne rozwiązanie bez konieczności przeprowadzania chirurgicznych zabiegów wszczepienia implantu. Inną alternatywą są protezy ruchome lub stałe; protezy ruchome można łatwo wyjmować i zakładać według potrzeb pacjenta, natomiast protezy stałe są trwale mocowane do pozostałych naturalnych zębów lub kości szczęki. Choć te rozwiązania mogą być mniej inwazyjne niż implanty, często nie oferują takiej samej stabilności ani funkcjonalności jak implanty dentystyczne.




